Toxoplazma
PRVOKY: trieda: Kokcídie (Coccidia)

Ako toxoplazmóza vyzerá? Základná charakteristika:
-žiadne pohybové ústrojenstvo-príjem potravy celým povrchom tela (osmoticky)- medzihostiteľ:
→ nešpecializuje sa, akýkoľvek cicavec alebo vták vrátane človeka
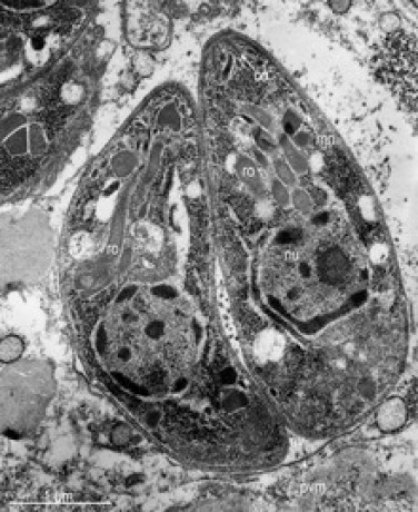
→ nepohlavné rozmnožovanie rozpadom (schizogóniou) jedinca na množstvo
jednojadrových zárodkov
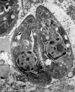
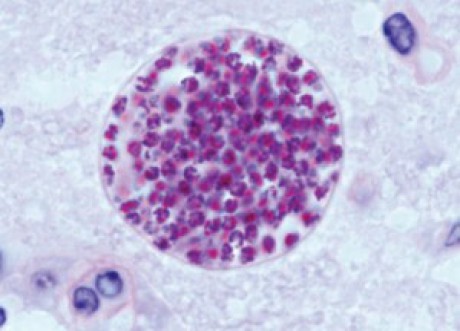
→ prebývanie v podobe guľovitej cysty (10-300um)
- definitívny hostiteľ:
→ mačky a mačkovité šelmy
→ pohlavné rozmnožovanie (gamogónia) splývaním haploidných zárodkov (gamét)⇒vznik zygoty oocysty rozpad na sporogónie- nositeľ nákazy.
Ako to vyzerá, keď sa toxoplazmóza dostane do tela?
Toxoplazma spôsobuje ochorenie toxoplazmóza. ktoré má širokú škálu klinických prejavov. Týmto parazitom sa môžete nakaziť bez toho, aby ste o tom vedeli a v tele môže prežívať a nijako sa neprejaviť aj niekoľko rokov.Jej medzihostiteľom môže byť akýkoľvek druh teplokrvného stavovca, vrátane človeka preto sa toxoplazma vyskytuje po celom svete a patrí medzi najrozšírenejšie parazity sveta. Medzi malými domácimi zvieratami je približne 80-90% je nakazených. U mačiek dochádza ku ich intenzívnemu množeniu v črevnom epiteli. Po 2-24 dňoch od nákazy sa začnú vylučovať oocysty cez výkaly do vonkajšieho prostredia, kde sú schopné dlhodobého prežitia. Exkrementy sa stávajú infekčnými pri optimálnych podmienkach teploty, vlhkosti a prítomnosti kyslíka za jeden až dva dni.
Existujú dva typy nákazy. Získaná- pri ktorej dochádza ku nakazeniu z vonkajšieho prostredia a vrodená- nakazenie od matky počas tehotenstva
Prejavy:
Akútna forma:
Pri tejto forme sa prvok v bunkách tráviaceho traktu nepretržite delí dokým nepraskne. Potom obsadí aj susedné bunky a neskôr sa lymfou rozmiesti po tkanivách celého tela. Vo väčšine prípadov si telo vďaka imunitnej odpovede so šíriacim sa parazitom samo poradí avšak u pacientov s oslabenou imunitou sa môže akútna infekcia ďalej šíriť vyústiť v pneumóniu, myokarditídu a nekrotizujúca encefalitídu.
Príznaky: v prípade ľahkej formy sa môžu ťažko rozoznať od chrípky. často sa vyskytuje horúčka, malátnosť, nočné potenie, zväčšené uzliony, bolesť svalov, krku, brucha, zápalové ochoreniami v oblasti očí.
Latentná forma:
U mnohých ľudí sa po krátkej akútnej fáze ochorenie dostane do dlhodobej latentnej podoby s tvorbou tkanivových cýst, predovšetkým v nervovej a svalovom tkanive, ktorá sa nijak výrazne neprejavuje na zdraví hostiteľa, iba v krvi sú prítomné protilátky. Ako náhle dôjde ku zníženiu tvorby týchto protilátok, ochorenie sa znova prejaví.
*Pre túto fázu sú typické poruchy CNS a psychosomatické ochorenia. (Najznámejší príklad sa vyskytuje u hlodavcov. Vedci zistili, že toxoplazma, ktorej jediným definitívnym hostiteľom je mačka, spôsobí, že myš sa prestane mačky báť a dokonca začne vyhľadávať aj jej prítomnosť, takže sa veľmi zvyšuje pravdepodobnosť požitia mačkou.) Naviac dochádza ku zmene správania, zhoršeniu motoriky, učenia, pudu sebazáchovy. Keďže osoby infikované toxoplasmou majú poškodený aj reakčný čas, hrozí im asi 2,5 krát vyššie riziko dopravnej nehody. Celosvetovo ročne umrie niekoľko stotisíc ľudí pod kolesami áut. Štúdie dokázali, že práve mnoho psychicky chorých (napr. shizofrenikov), ale aj u ľudí s Parkinsonovou a Alzhaimerovou chorobou má v krvi vysoký počet protilátok proti toxoplazme-dôkaz latentej formy. Spojenie so schizofreniou dokazuje aj zistenie, že toxoplazma dokáže vylučovať enzýmy podporujúce produkciu dopamínu, ktorý v mozgu vyvoláva bludy a halucinácie
Nákaza prítomná počas tehotenstva:
Toxoplazmóza patrí medzi infekcie ohrozujúce plod a najzávažnejšie dôsledky má na začiatku tehotenstva. Spôsobuje obrovské riziko predčasného pôrodu alebo pôrodu mŕtveho či postihnutého dieťaťa. Po narodení má asi 1/3 detí infekčné príznaky- môže sa vyskytnúť anémia, trombocytopénia a hyperbilirubinémia. Neskôr sa prejavuje mentálna retardácia, kŕče, poruchy zraku, spasticita, poruchy sluchu a ďalšie závažné neurologické prejavy.
Ako sa dá toxoplazmóza liečiť?
Liečenie toxopazmózy nie je vždy jednoduché a môže trvať viac ako tri týždne. Toxoplazmóza u osôb a zvierat bez imunitných oslabení a gravidity zvyčajne nevyžaduje parazitárnu liečbu, môžu sa ale použiť liečby na zmiernenie príznakov.
V indikovaných prípadoch eradikácie tachyzoitů pomocou pyrimethamínu (nie je účinný proti tkanivovým cystám - bradyzoitům), ktorý sa podáva v kombinácii s kyselinou listovou kvôli prevencii útlmu kostnej drene. Pri súčasnom podávaní sulfadiazínu možno využiť súlad.
Viac informácií o diagnostike, liečbe a medicínskom pohľade tu.
*Medzi prejavmi toxoplazmózy ste sa mohli dočítať o možných zmenách správania. Toxoplazmóza totižto patrí do skupiny organizmov, u ktorých bola dokázaná manipulačná teória parazitov. Českí vedci z Karlovej univerzity prišli na mnoho zistení o tom, do akej mieri môže parazit zasahovať do nášho vedomia a správania. Dokonca sa domnievajú, že môže podieľať aj na zmene vzhľadu človeka. Podrobnejšie informácie sa môžete dočítať v článku priamo od autorov tohto výskumu: Ukáž mi své parazity a ja ti povím kdo jsi.
Nenašli ste čo ste hľadali?
Článok je venovaný jedinečným vlastnostiam toxoplazmózy. Pre podrobnejšie informácie o problematike rozširovania parazitných ochorení a ich dôsledkov, o prevencí, ďalších parazitoch, alebo viac zaujímavostí po parazitizme kliknite na tieto odkazy alebo si prezrite menu hore.
Náhľad fotografií zo zložky Toxoplazma




